Prof. Paulo Monteiro
HLT, professori Paulo Monteiro suoritti hammaslääketieteen tohtorintutkintonsa Instituto Superior de Ciências da Saúde Egas Monizissä (ISCSEM) Portugalin Caparicassa, missä hän löysi intohimonsa esteettiseen hammashoitoon. Hän suoritti esteettisen ja korjaavan hammaslääketieteen jatko-ohjelman ISCSEM:ssä vuonna 2005. Tänä päivänä Monteiro toimii koordinaattorina ja professorina esteettisen ja korjaavan hammaslääketieteen jatko-ohjelmassa Instituto Universitário Egas Monizissa. Hänellä on yksityisvastaanotto Lissabonissa, joka keskittyy esteettisiin ja kosmeettisiin hammashoitoihin.
Laminaattien sementointi vaatii tarkkuutta ja voi olla haastavaa. Näillä lisävinkeillä otat tämänkin toimenpiteen haltuun sovituksesta aina lopulliseen kovetukseen asti ja saavutat erinomaisia ja luotettavia tuloksia.
Laminaattien tavoitteena on saavuttaa potilaiden kaipaama kaunis ja pitkäkestoinen hymy. Toimenpiteen viimeinen vaihe voi kuitenkin olla haastava. Adhesiivinen sementointi on tekniikkaherkkää – ja samalla ratkaisevan tärkeää pitkäaikaisen esteettisyyden ja kestävyyden kannalta. Keraamiset materiaalit ovat paitsi hauraita ja ohuita myös hyvin esteettisiä, jolloin virheet näkyvät potilaalle.
Ihannetapauksessa sementointikäynti on miellyttävä kokemus potilaalle ja alku hänen elämänsä mullistavalle esteettiselle muutokselle. Sementointi edellyttää yksinkertaista mutta tehokasta protokollaa, joka voidaan jakaa seitsemään eri vaiheeseen:
1. Puhdista hionnat
2. Sovita istuvuuden ja esteettisyyden tarkistamiseksi
3. Eristä ja tee lopullinen sovitus
4. Esikäsittele laminaatit
5. Esikäsittele preparointi
6. Annostele sementti, vie työ paikoilleen ja tee alustava puhdistus
7. Valokoveta ja tee lopullinen puhdistus
Tässä artikkelissa tutustumme jokaiseen vaiheeseen erikseen sekä kerromme vinkkejä ja niksejä mahdollisimman tehokkaiden, esteettisten ja pitkäikäisten tulosten saavuttamiseksi.
Vaihe 1. Uusi alku: Puhdista preparoinnit mekaanisesti
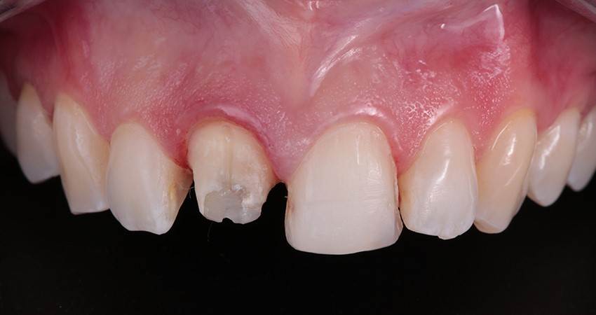
Poista ensin väliaikaiset restauraatiot sekä ylimääräinen sementti ja puhdista alue perusteellisesti, koska kaikki jäämät voivat vaikuttaa negatiivisesti istuvuuteen ja/tai väriin (kuva 1). Hohkakivitahna on hyvä vaihtoehto preparointien mekaaniseen puhdistukseen. Seinämät ja okklusaalialueet voidaan puhdistaa pienellä harjalla, mutta herkät marginaaliset alueet lähellä ikeniä tulisi sen sijaan puhdistaa superlon-palalla.
Älä koskaan käytä natriumbikarbonaattipohjaisia puhdistusaineita tai jauheita, sillä ne voivat estää sidostumisen. Yksi vaihtoehto on esim. 3M™ Clinpro™ Glycine Prophy -jauhe. Toisin kuin muut puhdistusjauheet se ei sisällä natriumbikarbonaattia vaan glysiiniä, mikä tekee siitä turvallisen käyttää.

Kuva 1. Puhdistetut laminaatti- ja kruunuhionnat keskimmäisissä etuhampaissa valmiina sovitukseen (kuva: prof. Paulo Monteiro).
Vaihe 2. Ensimmäinen sovitus: Löydä täydellinen yhteensopivuus
Ennen kuin laminaatti voidaan sementoida, on tärkeää varmistaa, että kaikki istuu hyvin ja täyttää potilaan esteettiset ja toiminnalliset vaatimukset. Tämä tarkoittaa – aivan kuten vaatteidenkin kanssa – laminaattien sovittamista. Tämä saattaa vaikuttaa yksinkertaiselta, mutta tosiasiassa sovitusprosessissa on otettava huomioon useita tekijöitä.
Jokainen laminaatti tulisi sovittaa sekä yksittäin että yhdessä istuvuuden ja proksimaalisten kontaktien tarkistamiseksi (kuva 2).

Kuva 2. Laminaatin ja kruunun sovitus etualueilla (kuva: prof. Paulo Monteiro).
Laminaatteja voidaan sovittaa myös kuivana preparoinnin päälle, mutta tämä varmistaa vain istuvuuden eikä välttämättä vastaa restauraation lopullista sävyä. Lopullinen sävy muodostuu preparoinnin, itse laminaatin ja niiden väliin jäävän muovisementin yhdistelmästä – ja kaikki kosteassa ympäristössä. Siksi on suositeltavaa lisätä vettä preparoinnin ja laminaatin väliin tarkemman valonläpäisyn mahdollistamiseksi. Vielä parempi keino on käyttää sovituspastaa.
Sovituspastoilla on muutamia etuja pelkkään veteen verrattuna. Ne auttavat pitämään laminaatit paikoillaan saumatiiviyden ja kontaktien arvioinnin helpottamiseksi. Lisäksi ne tarjoavat mahdollisuuden esikatsella ja valita oikea muovisementin sävy. Paksummille laminaateille muovisementin väri ei tee suurta eroa. Ohuemmille laminaateille (0,3–0,5 mm) sementti voi kuitenkin vaikuttaa lopulliseen esteettiseen tulokseen. Siksi on tärkeää, että käytössä on useita sävyjä.

Kuva 3. 3M™ RelyX™ Veneer Try-In -pastat eri sävyissä vastaavat 3M™ RelyX™ Veneer- ja 3M™ RelyX™ Universal Resin Cement -sementtejä (kuva: prof. Paulo Monteiro).
Onneksi monille muovisementeille, kuten 3M™ RelyX™ Veneer ja 3M™ RelyX™ Universal, on saatavilla yhteensopivat sovituspastat (kuva 3), jotta sävyjä voi helposti testata ennen sementointia. Jos esimerkiksi haluat korkeamman valoisuuden omaavan valkoisemman lopputuloksen, tee testi White Opaque -sovituspastalla, jolla voit luottaa siihen, että vastaava sementti tuottaa samanlaiset tulokset. Jos tämä ei tuota oikeaa sävyä, laminaatti voidaan poistaa ja huuhdella ja sitä voidaan kokeilla uudella sävyllä.
Vaihe 3. Eristäminen ja lopullinen sovitus: Valmistaudu loppuhuipennukseen
Huuhtele, kuivaa ja eristä hampaat kofferdamin avulla (kuva 4) ja käytä tarvittaessa ientaskulankaa tai retraktiopastaa. Eristäminen on sementoinnissa olennaisen tärkeää, sillä se parantaa alueelle pääsyä ja näkyvyyttä sekä auttaa ylläpitämään puhdasta ja kuivaa työskentelyaluetta.
Suorita lopullinen sovitus kofferdam paikoillaan (kuva 5) nähdäksesi, häiritsevätkö sovitussuunta ja laminaattien reunat millään tapaa lankaa, kofferdamia tai klammereita. Säädä tarvittaessa kofferdamia varmistaaksesi, että kaikki toimii varsinaisessa sementoinnissa.

Kuva 4. Kofferdamilla eristetyt preparoinnit (kuva: prof. Paulo Monteiro).

Kuva 5. Lopullinen sovitus eristyksen ollessa paikoillaan (kuva: prof. Paulo Monteiro).
Vaihe 4. Laminaatin esikäsittely: Valmistaudu onnistumaan
Oikean esikäsittelyn ja sementin valitsemiseksi on tärkeää tietää, mitä materiaalia hammasteknikko käyttää ja onko laboratoriossa jo tehty esikäsittelyä. Tämä sekä ohjaa parhaan mahdollisen sidoksen saavuttamiseen että auttaa välttämään alikäsittelyn tai toisaalta tarpeettoman ylikäsittelyn. Kommunikoinnin optimoimiseksi laboratorion kanssa voi käyttää esimerkiksi 3M Success Simplified Cementation Guide -ohjetta.

Kuva 6. Lasikeraamisen laminaatin etsausesikäsittely fluorivetyhapolla (kuva: prof. Paulo Monteiro).
Eri materiaalit vaativat erilaisia esikäsittelyjä, ja on tärkeää tietää, mikä tapa soveltuu parhaiten kyseessä olevaan tapaukseen. Lasikeraamiset materiaalit, kuten litiumdisilikaatti- tai maasälpä-lasikeraamiset laminaatit, tulisi etsata fluorivetyhapolla mikroretention luomiseksi materiaaliin (kuva 6). Toisaalta oksidikeraamiset materiaalit ilman etsattavia lasihiukkasia, kuten zirkonia, tai muovipohjaiset materiaalit, tulisi hiekkapuhaltaa alumiinioksidilla ja puhdistaa sen jälkeen alkoholilla.
Lasikeraamiset laminaatit on puhdistettava huolellisesti etsauksen jälkeen, jotta etsatulle pinnalle kertyneet silikafluoridisuolat tulevat poistettua. Tämä voidaan tehdä huuhtelemalla vedellä, kunnes kaikki valkoiset jäämät on poistettu (kuva 7).
Mutta entä jos laboratoriossa on tehty etsaus tai hiekkapuhallus jo ennen restauraatioiden toimittamista klinikalle? Tällöin tarvitaan intensiivisempi puhdistus mahdollisen sovituksessa tapahtuneen kontaminaation poistamiseksi. Lasikeraamiset restauraatiot voidaan puhdistaa hieromalla niitä minuutin ajan fosforihapolla ennen huuhtelua vedellä. Fosforihappoa ei sen sijaan pidä käyttää zirkoniaan, koska se heikentää sidosta. Tässä tapauksessa natriumhypokloriitti (NaOCl) tai erityiset puhdistusaineet voivat poistaa sovituksessa tapahtuneen kontaminaation esihiekkapuhalletuilta sidospinnoilta.

Kuva 7. Etsauksen jälkeen tapahtuva lasikeraamisen laminaatin puhdistus voimakkaalla vesisuihkulla (kuva: prof. Paulo Monteiro).
Kun lasikeraaminen laminaatti on pesty, se tulee kuivata ennen silaanin levittämistä (1). Silaanivaihtoehtoja on saatavilla monia erillisistä silaani-primereista silaanikomponentin sisältäviin universaaleihin primereihin sekä universaaleihin "kaikki yhdessä" -sidosaineisiin, kuten 3M™ Scotchbond™ Universal Plus. Jälkimmäinen sisältää sekä silaania että MDP:tä mahdollistaen sidoksen lasikeraamisiin materiaaleihin klassisten erillisten silaaniprimerien tasolla.(2)
3M™ Scotchbond™ Universal Plus -sidosainetta hierotaan 20 sekunnin ajan (kuva 8) ja kuivataan ilmalla 5 sekunnin ajan, kunnes kaikki liuotin on poistettu. Tämän jälkeen päällystetty pinta suojataan valolta, kunnes on aika levittää sementti sementointia varten.

Kuva 8. 3M™ Scotchbond™ Universal Plus -sidosaineen levitys silaaniprimerina etsatun lasikeraamisen laminaatin sementointipinnalle (kuva: prof. Paulo Monteiro).
Vaihe 5. Hampaan preparoinnin esikäsittely: Luo perusta vahvalle sidokselle
Kaikki alueet ilman kiillettä, kuten yhdistelmämuovirakenteet ja dentiini, tulee ensin hiekkapuhaltaa alumiinioksidilla ja huuhdella (kuva 9).
Seuraavaksi kaikki alueella oleva kiille tulee etsata 15 sekunnin ajan fosforihapolla, kuten 3M™ Scotchbond™ Etchant, minkä jälkeen kiille huuhdellaan perusteellisesti vähintään 15 sekunnin ajan ja kuivataan (kuva 10).

Kuva 9. Yhdistelmämuovirakenteen esikäsittely hiekkapuhalluksella 30 µm:n alumiinioksidilla (kuva: prof. Paulo Monteiro).

Kuva 10. Preparointien etsaus fosforihapolla (kuva: prof. Paulo Monteiro).
Nyt on aika levittää sementille suositeltu sidosainejärjestelmä, esimerkiksi Scotchbond Universal Plus -sidosaine RelyX Veneer- tai RelyX Universal -sementille.
Suojaa naapurihampaat teflonteipillä, hiero Scotchbond Universal Plus -sidosainetta 20 sekunnin ajan ja kuivaa ilmalla, kunnes kaikki liuotin on täysin poistettu eikä sidosaine enää liiku (kuvat 11 ja 12). Oikein levitetty sidosaine muodostaa kiiltävän kalvon koko sidospinnalle. Älä koveta valolla, jotta et vahingossa saa aikaan liian paksua kerrosta.

Kuva 11. 3M™ Scotchbond™ Universal Plus -sidosaineen levitys (kuva: prof. Paulo Monteiro).

Kuva 12. 3M™ Scotchbond™ Universal Plus -sidosaineen kuivatus ilmalla (kuva: prof. Paulo Monteiro).
Vaihe 6. Sementin levitys: Sovella innovaatioita
Esteettinen ja adhesiivinen muovisementti erillisellä sidosainejärjestelmällä on ensisijainen sementti pitkäaikaisille esteettisille restauraatioille, kuten laminaateille, sekä niiden ei-retentiivisen preparoinnin muotoilun että pääasiassa kiilteellä olevan sijainnin vuoksi. Tämäntyyppinen adhesiivinen muovisementti tarjoaa erinomaisen sidoslujuuden ja on myös väristabiili. Voit valita kahden päätyypin välillä joko valokovetteisen muovisementin tai kaksoiskovetteisen muovisementin.
Valokovetteiset muovisementit, kuten RelyX Veneer, ovat laminaattien "kultastandardi", sillä ne tarjoavat rajoituksettomasti työskentelyaikaa. Laminaattien sementointi voi olla haastavaa, ja siksi ajan ottaminen oikean lopputuloksen saavuttamiseksi kannattaa. On tärkeää muistaa, että valokovetteiset muovisementit on kovetettava täydellisesti niiden ominaisuuksien hyödyntämiseksi, mikä voi olla haastavaa erityisesti paksumpien laminaattien tapauksessa.
Vaihtoehtoisesti voit myös käyttää kaksoiskovetteista muovisementtiä, kuten RelyX Universal, joka tarjoaa sekä vahvan sidoksen että korkeaa esteettisyyttä – mutta sen mahdollistama työskentelyaika on rajallinen. Jos et tee laminaatteja usein etkä muuten tarvitse vastaanotollasi erityistä laminaattisementtiä, silloin kaksoiskovetteiset muovisementit ovat erinomainen vaihtoehto, sillä niillä on monia muitakin käyttömahdollisuuksia.
Kun hampaat ja laminaatit on valmisteltu edellä kuvatulla tavalla, voit levittää valitsemasi muovisementin laminaatin sisäpinnalle. Mutta kuinka paljon sementtiä tulisi levittää? Todellisuudessa määrällä ei ole merkitystä vaan tasaisuudella. Varmista siis vain, että levitetty annos riittää peittämään tasaisesti koko keraamisen pinnan (kuva 13). Ylimääräistä sementtiä tulee aina, mutta ylimäärä voidaan poistaa – ilmakuplia tai tilaa laminaatin ja preparoinnin välillä ei sen sijaan saa olla.

Kuva 13. 3M™ RelyX™ Universal -muovisementin levitys (kuva: prof. Paulo Monteiro).
Aseta hymy paikoilleen
Nyt on totuuden hetki: laminaatin istutus. Jokaisella hammashoidon ammattilaisella on oma lähestymistapansa siihen, asettaako laminaatit yksi kerrallaan vai kaikki kerralla. Kun minulla on useita laminaatteja asetettavana, aloitan aina kahdesta keskimmäisestä etuhampaasta, sitten kahdesta lateraalisesta etuhampaasta, jatkan siitä kulmahampaisiin ja niin edelleen.
Jos on joku paikka, jossa virheitä ei saa tehdä, se on keskimmäiset etuhampaat. Ne ovat hampaista näkyvimmät, joten ne ovat myös paras paikka aloittaa. Itse asetan ensin laminaatin hampaan päälle ja aloitan sementtiylimäärän poistamisen sienellä. Sitten pidän instrumentilla laminaattia kevyellä paineella paikoillaan ja poistan saumoihin virranneen ylimääräisen sementin hammaslangalla. Kun kaikki laminaatit on asetettu ja pääasiallinen ylimäärä poistettu, on ne seuraavaksi stabiloitava – eli valokovetettava.
Vaihe 7. Lopullinen kovetus ja puhdistus
Kuten monissa muissakin restoratiivisissa toimenpiteissä, lopullinen valokovetus on olennaisen tärkeää laminaattien pitkäikäisyydelle, toiminnallisuudelle ja esteettisyydelle – ja voi tehdä ratkaisevan eron onnistumisen ja tyytymättömän potilaan välillä. Riittämätön kovetus voi johtaa saumakohtien värjäytymiseen tai jopa laminaattien irtoamiseen.
Täydellisen kovetuksen saavuttamiseksi on tärkeää tietää materiaalien vaatimukset, käyttää oikeaa tekniikkaa ja varmistaa, että valokovettajasi on tehtävänsä tasalla. Jokaisella hammashoidon ammattilaisella tulee olla luotettava, korkealaatuinen valokovettaja, kuten 3M™ Elipar™ DeepCure-S LED, ja sen toimintakyky tulee testata säännöllisesti riittävän tehon varmistamiseksi.
Levitän itse ensin saumoihin glyseriinigeeliä poistaakseni happi-inhibitiokerroksen ja varmistaakseni täydellisen kovetuksen. Tämän jälkeen valokovetan geelikerroksen läpi 20 sekunnin ajan sekä palatinaaliselta että bukkaaliselta puolelta (kuva 14). Laminaattien tapauksessa valokovetus riippuu materiaalin paksuudesta. Paksumpi, läpinäkymättömämpi laminaatti saattaa vaatia pidemmän kovetusajan.
Kun laminaatit on valokovetettu paikoilleen, on aika poistaa mahdollisesti jäljellä oleva ylimääräinen sementti terällä (kuva 15) ennen kumikiillotusrullilla ja hiomalaikoilla tapahtuvaa reunojen viimeistelyä.

Kuva 14. Valokovetus (kuva: prof. Paulo Monteiro).

Kuva 15. Lopullinen ylimääräisen sementin puhdistus terällä (kuva: prof. Paulo Monteiro).
Yhteenveto
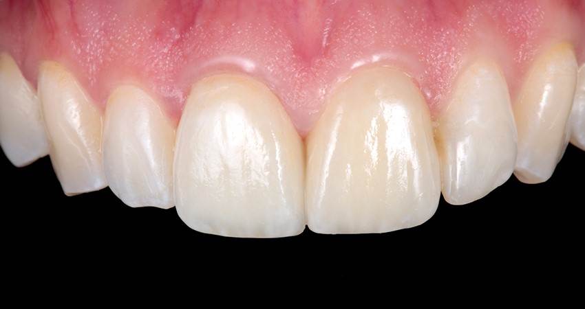
Laminaattitoimenpiteessä jokainen yksityiskohta on ratkaisevan tärkeä lopputuloksen kannalta, mutta sementointi on näiden kaikkien ponnistusten huipentuma. Tämä voi toisinaan olla haastavaa. Omien kokemusteni perusteella avain onnistumiseen on noudattaa yllä olevia suosituksia, tutustua käytettävissäsi oleviin materiaalein, kehittää sujuva protokolla ja käyttää tutkittuja tuotteita. Yhdessä nämä askeleet johtavat erinomaisiin lopputuloksiin – ja tyytyväisiin potilaisiin (kuva 16).

Kuva 16. Seurantakuva lopputuloksesta 2 kk jälkeen (kuva: prof. Paulo Monteiro).
Viitteet:
1. Alex, Gary, DMD. “Preparing Porcelain Surfaces for Optimal Bonding.” Aegis Dental Network, 1 Feb. 2008.
2. Van Meerbeck, et al. “Optimizing glass-ceramic bonding incorporating new silane technology in an experimental universal adhesive formulation.” Dent Mater. 2021 37(5) 894-904.
Valmistaja: 3M
CE 0123 MD 3M RelyX Universal
CE 0123 MD 3M RelyX Veneer
CE 0123 MD 3M Scotchbond Etchant
CE 0123 MD 3M Scotchbond Universal Plus
CE MD 3M Elipar DeepCure-S LED