Kirjoittaja: Giuseppe Chiodera, hammaslääkäri
Giuseppe Chiodera valmistui hammaslääkäriksi Brescian yliopistosta vuonna 2004. Samana vuonna hän sai stipendin ja suoritti erikoistumiskoulutuksen King’s Collegessa Lontoossa. Vuodesta 2004 hän omistaa myös yksityisvastaanoton Bresciassa, joka on omistettu pääasiassa korjaavalle hammashoidolle, esteettisille restauraatioille, ennaltaehkäisylle, endodontialle ja uusille teknologioille. Hän on StyleItalianon kunniajäsen ja rakastaa kehittää uusia hoitotekniikoita, jotka yksinkertaistavat diagnostiikka- ja restauraatiomenetelmiä.

Tietoja potilastapauksesta

1. Juurikanavanastan sovitus pituuden arvioimiseksi.

2. 3M™ RelyX™ Universal -muovisementin annostelu juurikanavaan jatkokanyylillä.

3. Sementtiylimäärän poisto ja valokovetus juurikanavanastan asettamisen jälkeen.

4. 3M™ Scotchbond™ Universal Plus -sidoaineen annostelu pilarin rakentamisessa.

5. 3M™ Scotchbond™ Universal Plus -sidosaineen ilmapuustaus.

6. 3M™ Scotchbond™ Universal Plus -sidosaineen valokovetus.

7. 3M™ Filtek™ One Bulk Fill -yhdistelmämuoin asettaminen.

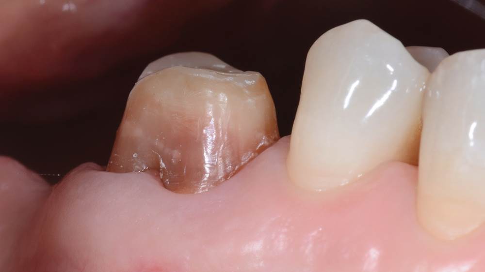
8. Yhdistelmämuovipilari valokovetuksen jälkeen.

9. Lopullinen hionta.

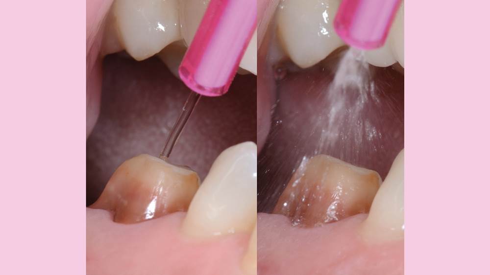
10. Pilarin puhdistus lopullisella sementointikäynnillä.

11. Pilarin huuhtelu ja ilmakuivaus.

12. Zirkoniakruunun sementointipinnan hiekkapuhallus.

13. 3M™ RelyX™ Universal -muovisementin annostelu.

14. Sementoitu kruunu sementtiylimäärällä.

15. Sementtiylimäärän esikovetus.

16. Sementtiylimäärän poistaminen sondilla.

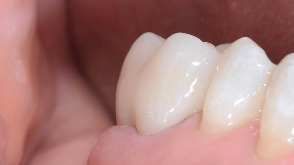
17. Lopputulos (bukkaalinen näkymä).

18. Lopputulos (okklusaalinen näkymä).
Valmistaja: Solventum
CE 0123 MD 3M RelyX Universal
CE 0123 MD 3M Scotchbond Universal Plus
CE 0123 MD 3M Filtek One Bulk Fill